Exposure of Impacted Teeth
What is an impacted tooth?
An impacted tooth simply means that it is “stuck” and cannot erupt into function. Patients frequently develop problems with impacted third molar (wisdom) teeth. These teeth get “stuck” in the back of the jaw and can develop painful infections, among a host of other problems (see Wisdom Teeth under Procedures). Since there is rarely a functional need for wisdom teeth, they are usually extracted if they develop problems. The maxillary cuspid (upper eyetooth) is the second most common tooth to become impacted. The cuspid tooth is a critical tooth and plays an important role in your “bite”. The cuspid teeth are very strong biting teeth and have the longest roots of any human teeth. They are designed to be the first teeth that touch when your jaws close together so they guide the rest of the teeth into the proper bite.
Normally, the maxillary cuspid teeth are the last of the “front” teeth to erupt into place. They usually come into place around age 13 and cause any space left between the upper front teeth to close tighter together. If a cuspid tooth gets impacted, every effort is made to get it to erupt into its proper position. The techniques involved to aid eruption can be applied to any impacted tooth in the upper or lower jaw, but most commonly they are applied to the maxillary cuspid (upper eye) teeth. Sixty percent of these impacted eyeteeth are located on the palatal (roof of the mouth) side of the dental arch. The remaining impacted eye teeth are found in the middle of the supporting bone, but are stuck in an elevated position above the roots of the adjacent teeth, or are out to the facial side of the dental arch.
Early Recognition of Impacted Eyeteeth Is the Key to Successful Treatment
The older the patient the more likely an impacted eyetooth will not erupt by natural forces alone, even if the space is available for the tooth to fit in the dental arch. A panoramic x-ray, along with a dental examination, will help determine whether all the adult teeth are present or if some adult teeth are missing.
Treatment may require referral to an oral surgeon for extraction of over-retained baby teeth and/or selected adult teeth that are blocking the eruption of the all-important eyeteeth. The oral surgeon will also need to remove any extra teeth (supernumerary teeth) or growths that are blocking the eruption of any adult teeth.
Impacted tooth success by patient’s age:
- 11-12 years old – with space opened for eruption, good chance for success.
- 13-14 years old – the impacted eyetooth will not erupt by itself, even with the space cleared for its eruption.
- Over 40 years old – much higher chance that the tooth will be fused in position. The only option is to extract the impacted tooth and replace it with a crown on a dental implant or a fixed bridge.
What happens if the eyetooth will not erupt when proper space is available?
In cases where the eyeteeth will not erupt spontaneously, the orthodontist and oral surgeon will work together to get these teeth to erupt. Each case must be evaluated on an individual basis, but treatment will usually involve a combined effort between the orthodontist and the oral surgeon. The oral surgeon will expose and bracket the impacted eyetooth.
The goal is to erupt the impacted tooth and not to extract it. Once the tooth has moved into its final position, the gum around it will be evaluated. In some circumstances, there may be some minor “gum surgery” required.
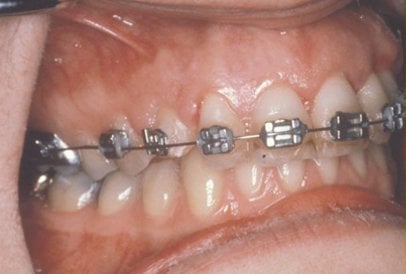
Exposure and Bracketing of an Impacted Cuspid
What to expect from surgery to expose & bracket an impacted tooth
The surgery to expose and bracket an impacted tooth is a very straightforward surgical procedure that is performed in the oral surgeon’s office. For most patients, it is performed using laughing gas and local anesthesia. In selected cases it will be performed under IV sedation if the patient desires to be asleep, but this is generally not necessary for this procedure. If the procedure only requires exposing the tooth with no bracketing, the time required will be shortened by about one half. These issues will be discussed in detail at your preoperative consultation with your doctor.
Refer to Preoperative Instructions under Surgical Instructions on this website for a review of any details.

